Teeth and gum care: good oral health

Advanced Smiles Dentistry has the best dentist in Tijuana. Our main goal is to build-up a long-term relationship with our patients to improve and maintain healthy gums that can help preserve your natural teeth for life. Travel to Mexico and you can save up 50% to 70% in any dental procedure. Also, you can […]
October: Breast Cancer Awareness Month

We join the annual campaign to raise awareness. October is here and we are ready to contribute by sharing the most powerful weapon: information. Did you know cancer can affect your mouth? The link between breast cancer and oral health is thinner than we might think. As the best dental clinic that Advanced Smiles Dentistry […]
Different types of braces in Tijuana

To achieve the perfect smile sometimes cosmetic dentistry is not enough. In the event of misalignment teeth your cosmetic dentist will recommend you first ortho treatment. Advanced Smiles Dentistry as a multidisciplinary dental clinic can offer braces at very affordable prices compare with US dentistry. However, first you will require an evaluation with the […]
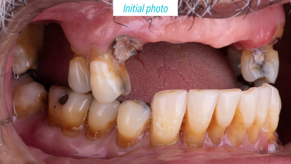
All on 6 Dentures: 3D printed vs. milled

Dental digital technology has given a lot of options to fix de teeth problems. One of the best uses is for the all on x implant dentures. Therefore, implant specialist and prosthodontist in Advanced Smiles Dentistry are using latest technology to deliver the highest quality outcome. To demonstrate what we can do as […]
Best Cosmetic Dentistry

Most of the society agrees that a beautiful smile can lead you to a success life. However not all of us a have the perfect teeth. Therefore, cosmetic dentistry has become the most popular dental service over the years. For example, if you neglect your oral hygiene, as we get older, teeth can get […]
All on 6 dental implants

Mexico, the best country for high quality dentistry at very affordable dental prices. Clearly if you travel to Tijuana for any dental service, you will be saving up to 70%. In addition, we accept most PPO US dental insurances. How to find the best all on 4 dental clinic in Tijuana? Our dental office near […]
Your teeth deserve royal treat

Did you know Queen Elizabeth II wear braces for a long time when she was young? Queen Elizabeth II always showed beautiful white teeth every time a camera captured her smile. UK dentists commented that The Queen had good oral health and most of her natural teeth despite her age. Back in 2019 […]
Dental Amalgam

What is a dental amalgam? Commonly known as “silver fillings†due it’s appearance. Dental amalgam is made of nearly 50% out of mercury. Although the mixed of mercury with other metals rated a high durability nowadays is not the best dental option. Disadvantages of Silver filling In the first place this type of metal […]
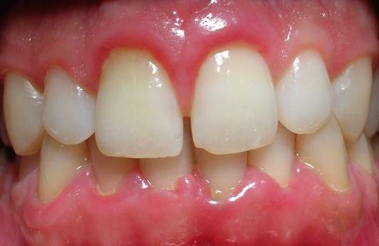
Gingivitis: causes and treatments

Also known as periodontal disease, gingivitis is a mild form of gum disease. In fact, gingivitis might be known as the beginning of periodontitis. If detected in an early stage is easy to treat before it becomes more severe. Symptoms: How to know if a have gingivitis? In order to identify if you are […]
Dental Bone Loss

Naturally teeth actively help to simulated the bone growth by chewing, biting and mouth movements. Therefore, when there are missing teeth, the osseous is no longer receiving stimulation and the bone starts to reabsorb. By all means, there are more factors involved in this dental problem. Why Bone Loss Occurs Jawbone deterioration major causes […]