Toothpicks: are they good for your gums?

Food is sneaky and food will inevitably get stuck in your teeth. It doesn’t matter if you have zirconia crowns, porcelain veneers, braces or even your natural teeth. Food can and will get between your teeth and is normal. Even so you have to keep an eye on how frequently it happens. Also have a […]
Cavities: tooth decay

Cavities are tiny openings or holes that form in your tooth surfaces. Cavities if untreated can become bigger and end up needed a much invasive dental treatment to fix the dental problem. Occasionally teeth can repair itself by using minerals on saliva. However, this is on cases where the cavity is beginning to form. On […]
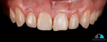
Dental Veneers FAQ

[et_pb_section fb_built=”1″ _builder_version=”4.16″ _module_preset=”default” global_colors_info=”{}”][et_pb_row _builder_version=”4.16″ _module_preset=”default” global_colors_info=”{}”][et_pb_column type=”4_4″ _builder_version=”4.16″ _module_preset=”default” global_colors_info=”{}”][et_pb_text _builder_version=”4.16″ _module_preset=”default” global_colors_info=”{}”] Advanced Smiles Dentistry can offer you the best dental treatment to enhance your smile. Which dental procedure is the best for you? We know that when it comes to cosmetic dentistry and knowing the best option for you, there can […]
ROOT CANAL TREATMENT: FQA’s

Tooth pain? Teeth sensibility to hot and cold? We have gathered the most common questions patients have regarding root canals. In this Q&A Advanced Smiles Dentistry’s dentists answer any doubts you may have about the endodontic treatment. When do you need an endodontic procedure? In the first place, there is a number of indicators that […]
Zirconia Dental Crowns

A Dental crown is a cap that is usually recommended when the teeth are broken, weak or misshaped. In the light of this explanation, cosmetic dentists from Advanced Smiles Dentistry have gather the most important information about crowns. Types of crowns Dental crowns can be made out of different materials. This will depend on several […]
Smile with pride all the time

At Advanced Smiles Dentistry we strive to achieve the highest dental care to all. That is why we openly declared our dental clinic LGBTQ + Ally. All dental staff believes that in order to make progress is through equally. For example, allies play an important role therefore well never denied oral health service to […]
Happy Father’s Day!

What better way to thank your father for being the best dad, that bringing back his smile? You can plan a trip to Tijuana and visit the best dentist clinic, Advanced Smiles Dentistry. First, general dentist we’ll do a full clinical dental evaluation for a very affordable price, that will include: Full set […]
June: Pride Month

Today begins Pride month which dedicated to celebrate LGBTQ + communities all around the world. At Advanced Smiles Dentistry we want to share all alliance and bring awareness to our dental community in Tijuana, Mexico. Nowadays diversity is no longer limited to religion and ethnicity. Diversity can reach everything from mental and physically ability; to […]
Memorial Day: A Day to remember with a smile.

The Navy Dental Corps goal is to prevent and take care of any dental condition that may interfere with the performance of the soldiers in duty. Also, navy dentists can support their fellow Sailors and Marines in disaster reliefs and humanitarian assistance. As a result, we can name three of the most remarkable dentists who […]
How many teeth do we have?

During our life we have two sets of teeth. As child we have milk teeth or baby teeth and the permanent teeth, the set we get after we lose the baby teeth. Children can get their first teeth as soon as 3 months old and even at 1 year old. In total an infant has […]