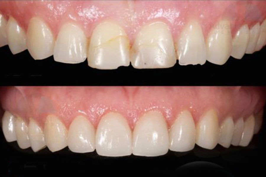
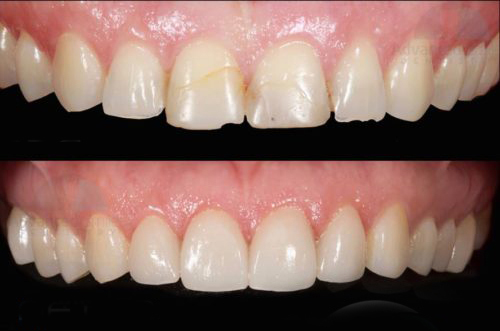
A great option to improve your smile are dental veneers, with this dental procedure we …
Your oral health it’s more important than you think, paying attention to your dental hygiene
The Advanced Smiles Dentistry team has been carefully managing the COVID-19 outbreak, so as a
Have you ever been on a dental consultation hearing your dentist saying a lot of
Remember one of our last blogs, we dare you to set an oral health resolution?
We will help you prepare for the first kiss of 2021. Be ready with the
With the 2021 around the corner most of us might be planning the resolution for
With all that have happened since March 2020 with COVID-19 it seems that we fast
Any oral surgery is a serious surgical procedure. Post-operative care is very important. Unnecessary pain
We love this time of the year and we hope you and your family are
A great option to improve your smile are dental veneers, with this dental procedure we …
What to expect at your first dental check up in Advanced Smiles Dentistry? If you …
Dental implants certainly offer the best alternative for tooth replacement. This is because the implants …
For the last 30 years, there has been an ever-increasing flow of US dental patients …
What makes an implant so strong is that the jawbone grows it around and holds …
Dental implants in Tijuana México can be utilized when several teeth are missing to support …
For people with small issues of their teeth like toothache, teeth alignment and teeth whitening, …
Nothing looks better than a full set of good looking teeth, but sometimes various factors …
When we hear dental implants, usually patients only think about a post or screw inside …