What to expect at your first dental check up in Advanced Smiles Dentistry?
If you are reading this perhaps you did the first step which is schedule an appointment with the best dentist in Tijuana. Well done! Dental check ups are the most important course of action for keeping your mouth and body healthy. Whether this dental checkup is your first one or you are visiting us to have veneers in Tijuana, we want you to be prepared. So, we’ve put together this short but very informative resource for your visit to Advanced Smiles Dentistry in Tijuana.
On the day of your appointment
You will be welcome by one of our patient’s coordinators, who will make sure to show you the new health protocols of entrance, also they will verify that we have all the information we need from you by handing a profile form for an easy check in.
Remember to provide all the information requested regarding your health so the dental team can make the best recommendations for you. *Your information is always kept in confidentiality. If you have insurance be sure to bring the information so your insurance benefits can be verified and a claim can be filed.
Then the dentist is going to present to you and make a face to face conversation in order to know you and your dental goals or concerns. Shortly after this the comprehensive oral evaluation will begin. During this evaluation the dentist and dental assistant will determine your oral health. Once concluded, based on the needs and priorities the dentist will recommend a dental treatment plan. She/He will explain every procedure and phase of the treatment, answer all of your questions, concerns and doubts until a fully comprehension of it. Afterall if you agreed to the recommendations and want to start treatment right away, we can definitely do it at once and help you schedule the following appointments.
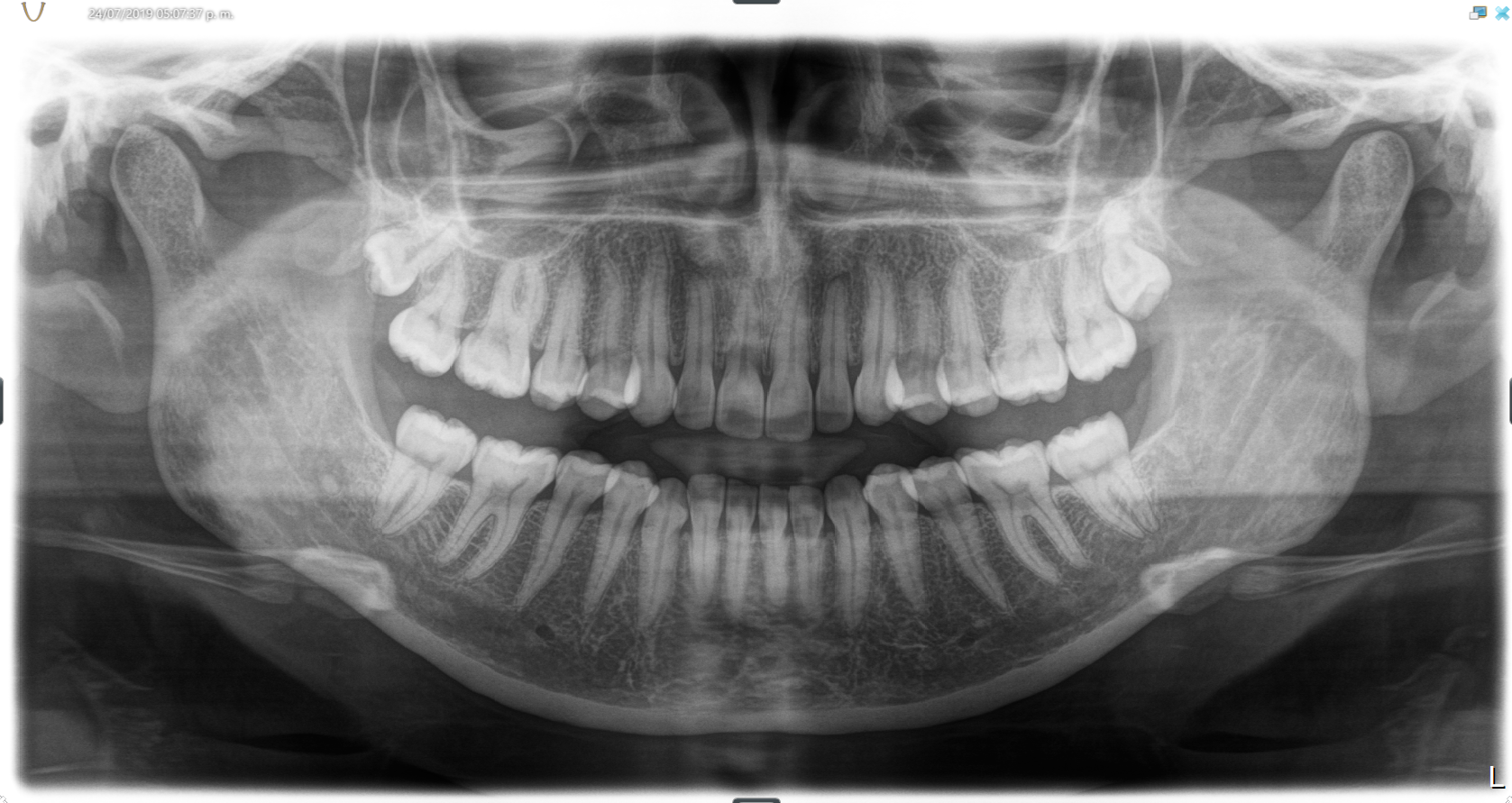
After you have finished with the check in one of our dental assistance will escort you to start taking x-rays. X-rays help the dentist to see things that are not visible in the oral examination and to assess the condition of teeth below the gum line, such as the jaw bone and nerves.
Then the dentist is going to present to you and make a face to face conversation in order to know you and your dental goals or concerns. Shortly after this the comprehensive oral evaluation will begin. During this evaluation the dentist and dental assistant will determine your oral health. Once concluded, based on the needs and priorities the dentist will recommend a dental treatment plan. She/He will explain every procedure and phase of the treatment, answer all of your questions, concerns and doubts until a fully comprehension of it. Afterall if you agreed to the recommendations and want to start treatment right away, we can definitely do it at once and help you schedule the following appointments.

