Tips for your visit to Tijuana this Spring Break 2021

Now that more and more people a getting the COVID-19 vaccine, the population are entering in a more “comfortable zone. With Spring Break around the corner and the word finally seeing the other side of the pandemic, a lot of cross information has been navigating the internet. We come clean about the restrictions and recommendation […]
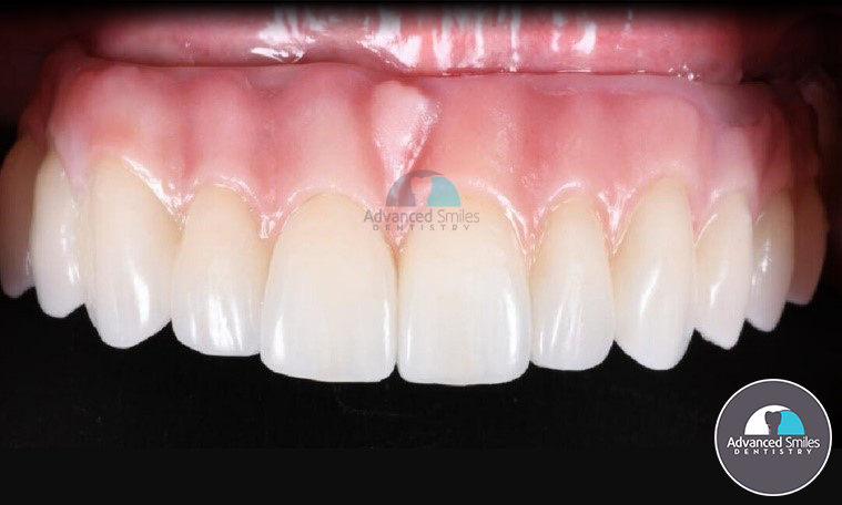
Porcelain Veneers vs. Composite Veneers

A great option to improve your smile are dental veneers, with this cosmetic dental procedure we can enhance the appearance of your teeth making them wither, longer and straighter or simply creating a harmonious smile. Did you know that you have to be an ideal candidate for veneers? If you already know that this procedure […]
How many visits does it take for a dental implant?

Dental implant is the most permanent solution for missing tooth however you have to keep in mind that is not a one appointment procedure. We are going to do the break down of every stage of the dental treatment for a basic placement of a dental implant. *Not all implant dental cases can be approach […]
Show your smile some love

This February in the celebration of Valentine’s day we want you to fall in love with your smile. We are committed to make your smile sparkle. Whether you want to start with an initial dental evaluation to know what are your dental needs or if you are looking for cosmetic dentistry. At the best dental […]
Most Valuable Smile of the Super Bowl 2021

This Sunday we are not looking over passes or touchdowns to find out who is the MVP of the year. This February 07 we are focusing our attention to the exact time where the player takes off their helmet and turn with a smile. We are on the hunt for the MVS (most valuable smile). […]
Types of dentures

We have talked few blogs ago about your options to replace missing tooth or just a couple of them, but how about when you lose all of your natural teeth for periodontal disease, injury or tooth decay. If this is your situation you want to keep reading because we are going to break down all […]
Missing Tooth? What are my options.

Because of trauma, periodontal diseases or biological missing tooth definitely can make people look at you different making you feel uncomfortable. But beyond the self-stem factor when missing one or several teeth can affect the speak, how you chew and if you let years pass without doing anything about it, teeth can shift and bone […]
Top 7 restaurants in Tijuana

It’s well known that Mexico has one of the best cuisines all over the world. Mexican food is an important part of who we are, it reflects our culture and traditions. You’ll never get bored with our variety of flavors and dishes. Each regional version is known for its richness and diversity. Without a doubt, […]
Multidisciplinary dental clinic in Tijuana

Have you ever visited a dentist and after the consultation they say: Well, you need to be seeing by a periodontist, since you have periodontal disease or The prosthodontist is on his way, the maxillofacial will se you meanwhile? After the dental clinical evaluation, the dentist starts mumbling all this words that we might haven’t […]
Making your dream come true

Today January 18th we celebrate Martin Luther King Jr. day. The man who fought to rescue the United States of America from abuse and discrimination among its own citizens through racial segregation. He gave his life to free Americans from the cruelty of segregation and different forms of slavery. Basically, he gave his life to […]