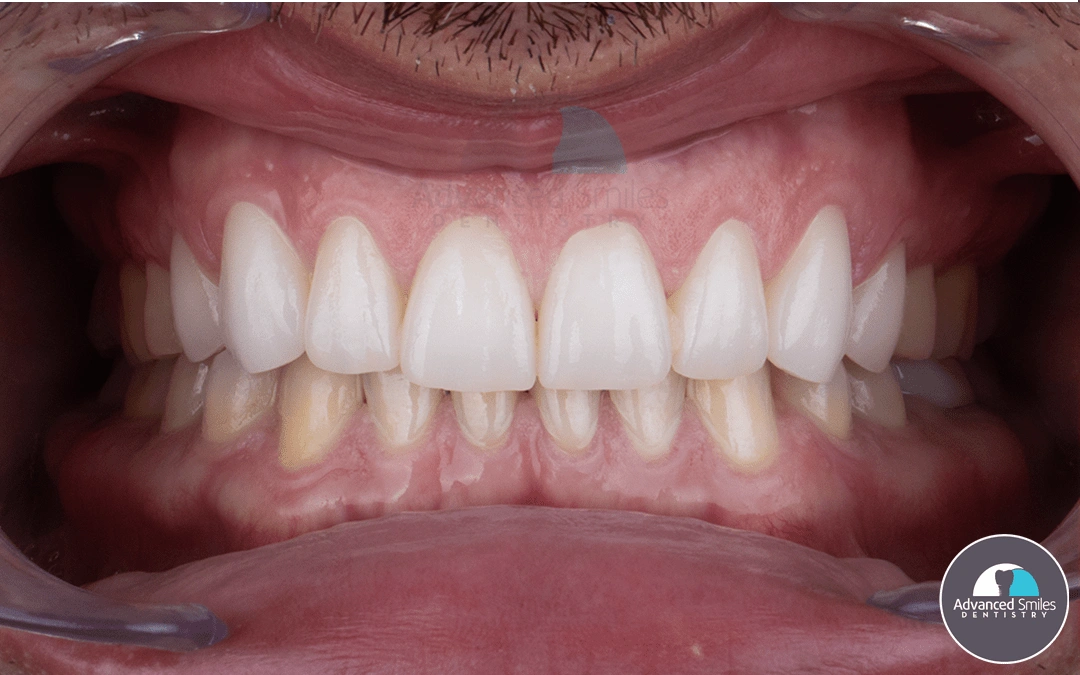
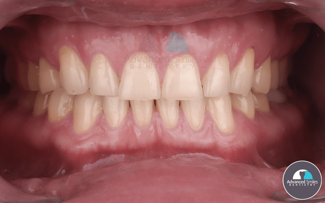
composite-bonding-minor-imperfections

Dr. Elias Rodriguez

He is a warm and approachable dentist, known for his genuine smile and compassionate care. With a focus on honesty and patient comfort, he offers a full range of general dental services while ensuring each visit is a positive experience. His commitment is to improving your oral health and enhancing your smile.
Before After dental-implants-repairaffordable-dental-implants-for-seniors
Before After dental-implants-for-denturesdental-implant-tooth-replacement